切换至 "中华医学电子期刊资源库"

中华肩肘外科电子杂志 ›› 2026, Vol. 14 ›› Issue (01) : 12 -20. doi: 10.3877/cma.j.issn.2095-5790.2026.01.003

论著

关节镜下肱二头肌长头腱转位加强术联合肩袖部分修补术治疗巨大不可修复肩袖撕裂的临床疗效观察
王贇琛1, 马孝忠2, 蒋文明2, 朱衡2, 束昊1,()   
  1. 1210023 南京中医药大学附属医院(江苏省中医院)骨伤科
    2210029 南京中医药大学第一临床医学院
  • 收稿日期:2025-07-16 出版日期:2026-02-05
  • 通信作者: 束昊
  • 基金资助:
    基础研究计划(自然科学基金)面上项目(BK20191505)

Observation on the clinical efficacy of arthroscopic transposition and strengthening of the long head tendon of the biceps brachii combined with partial rotator cuff repair in the treatment of massive and irreparable rotator cuff tears

Yunchen Wang1, Xiaozhong Ma2, Wenming Jiang2, Heng Zhu2, Hao Shu1,()   

  1. 1Department of Orthopedics, Affiliated Hospital of Nanjing University of Chinese Medicine, Nanjing 210023, China
    2The First Clinical Medical College, Nanjing University of Chinese Medicine, Nanjing 210029, China
  • Received:2025-07-16 Published:2026-02-05
  • Corresponding author: Hao Shu
引用本文:

王贇琛, 马孝忠, 蒋文明, 朱衡, 束昊. 关节镜下肱二头肌长头腱转位加强术联合肩袖部分修补术治疗巨大不可修复肩袖撕裂的临床疗效观察[J/OL]. 中华肩肘外科电子杂志, 2026, 14(01): 12-20.

Yunchen Wang, Xiaozhong Ma, Wenming Jiang, Heng Zhu, Hao Shu. Observation on the clinical efficacy of arthroscopic transposition and strengthening of the long head tendon of the biceps brachii combined with partial rotator cuff repair in the treatment of massive and irreparable rotator cuff tears[J/OL]. Chinese Journal of Shoulder and Elbow(Electronic Edition), 2026, 14(01): 12-20.

目的

探讨关节镜下肱二头肌长头腱(long head of biceps tendon,LHBT)转位加强联合肩袖部分修补术治疗巨大不可修复肩袖撕裂的疗效,并与单纯行关节镜下肩袖部分修复为期1年随访的结果进行比较。

方法

回顾性分析2019年8月至2023年6月在江苏省中医院接受关节镜修复巨大不可修复肩袖撕裂的患者共36例。部分修复组20例,LHBT转位联合部分修复组16例。纳入标准为不可修复的肩袖撕裂,肌腱无法到达原始足印区,术后随访1年。比较两组术后肩关节主动活动度、疼痛视觉模拟评分(visual analogue scale,VAS)、美国加州大学洛杉矶分校(University of California,Los Angeles,UCLA)评分、美国肩肘外科协会评分(rating scale of the American shoulder and elbow surgeons, ASES)和Constant-Murley评分,观察术后并发症发生情况,复查MRI并采用Sugaya愈合分型评估重建组织完整性。

结果

两组术后1个月静息痛VAS评分,以及3、6、12个月的静息痛和运动痛VAS评分、功能评分(UCLA评分、ASES评分及Constant-Murley评分)差异均无统计学意义(P>0.05)。术后6个月,两组前屈上举活动度差异无统计学意义(P>0.05),但LHBT联合组外旋活动度优于关节镜下肩袖部分修复组(P<0.05)。术后3、6、12个月MRI显示两组腱-骨愈合等级(Sugaya分型)及再撕裂率均相当(P>0.05)。

结论

LHBT转位加强联合部分修补术较单纯关节镜下肩袖部分修复能更明显改善巨大不可修复性肩袖撕裂患者的术后主动外旋功能,但两者在前屈上举活动度、疼痛缓解、功能评分、腱-骨愈合及再撕裂率方面疗效相当。

Background

The treatment of massive and irreparable rotator cuff tears has long been a complex problem for shoulder joint surgeons. Due to muscle fat infiltration and tendon retraction, surgical repair of these tears is challenging, and some chronic, massive rotator cuff tears cannot be completely repaired. At present, there are many surgical treatment options available, including debridement and subacromial decompression, partial rotator cuff repair, allogeneic or autologous transplantation (patches, fascia, or dermis, etc.), tendon transposition (latissimus dorsi, pectoralis major, or pectoralis minor, etc.), balloon technique, and reverse total shoulder arthroplasty. For relatively younger patients, joint preservation surgery involving clearance and partial repair, patch enhancement, or tendon transfer remains the preferred option. If a complete repair cannot be achieved, a partial repair may still improve shoulder pain and function, but the risk of retearing after partial repair is as high as 52%. Compared with partial repair, arthroscopic patch augmentation has better clinical efficacy but offers no significant benefit to patients with high steatosis and has a relatively high nonunion rate. Tendon transposition of the latissimus dorsi and other muscles is also a good choice for clinical treatment. However, this surgical method is a non-anatomical transposition, and a large number of anchors need to be implanted during the operation, which causes significant trauma, a long recovery time for patients, and a high incidence of complications. Reverse shoulder arthroplasty is mainly suitable for elderly patients and can effectively improve pain and shoulder joint function in patients with advanced rotator cuff tear disease and/or painful pseudopalsy. However, the prosthesis has a limited lifespan, and complications such as postoperative infection, prosthesis loosening, and pad wear after replacement can occur, and it is expensive. The long head tendon of the biceps brachii is used as an autologous graft to reconstruct the upper joint capsule, exerting its tension-reducing scaffold function, enhancing the mechanical strength of the anterior tissue of the rotator cuff and exerting the anterior upper blocking effect, reducing the tissue tension of the repaired rotator cuff to promote the tendon-bone healing of the rotator cuff and prevent retear of the rotator cuff. Moreover, it has few complications, low cost, and a relatively simple surgical procedure, which are among its advantages.

Objective

To explore the efficacy of arthroscopic transposition and reinforcement of the long head tendon of the biceps brachii (LHBT) combined with partial rotator cuff repair in the treatment of massive and irreparable rotator cuff tears, and to compare the results with the one-year follow-up of arthroscopic partial rotator cuff repair (APR) alone.

Methods

A retrospective analysis was conducted on a total of 36 patients who underwent arthroscopic repair of massive and irreparable rotator cuff tears at Jiangsu Provincial Hospital of Chinese Medicine from August 2019 to June 2023. There were 20 cases in the partial repair group and 16 cases in the LHBT translocation combined with the partial repair group. The inclusion criteria were irreparable rotator cuff tears in which the tendon could not reach its original footprint, and the postoperative follow-up was 1 year. The active range of motion of the shoulder joint, visual analogue scale (VAS) for pain, UCLA score, American society of shoulder and elbow surgeons (ASES) score, and Constant-Murley score after surgery were compared between the two groups to assess postoperative complications. MRI was reexamined, and the Sugaya healing classification was used to assess the integrity of the reconstructed tissue.

Results

There were no statistically significant differences in VAS and functional scores (UCLA, ASES, and Constant-Murley) for resting pain and motor pain at 1 month and at 3, 6, and 12 months after surgery between the two groups (P>0.05). Six months after the operation, there was no significant difference in the range of motion of forward flexion and upward lift between the two groups (P>0.05), but the range of motion of external rotation in the LHBT combined group was better than that in the APR group (P<0.05). MRI at 3, 6, and 12 months after the operation showed that the tendon-bone healing grades (Sugaya classification) and retear rates of the two groups were comparable (P>0.05) .

Conclusion

LHBT transposition enhancement combined with partial repair can more significantly improve postoperative active external rotation function in patients with massive, irreparable rotator cuff tears than APR alone. However, the efficacy of both is comparable in terms of forward flexion and elevation range of motion, pain relief, functional score, tendon-bone healing, and retreater rate.

图1 依次为术前镜下观(图A)、骨髓道制备(图B)、LHBT固定(图C)、术后镜下观(图D)注:LHBT为肱二头肌长头腱
表1 两组患者基线数据
表2 两组患者VAS评分比较
表3 两组患者功能评分比较
表4 两组患者肩关节主动活动度比较
表5 两组患者Sugaya分型比较
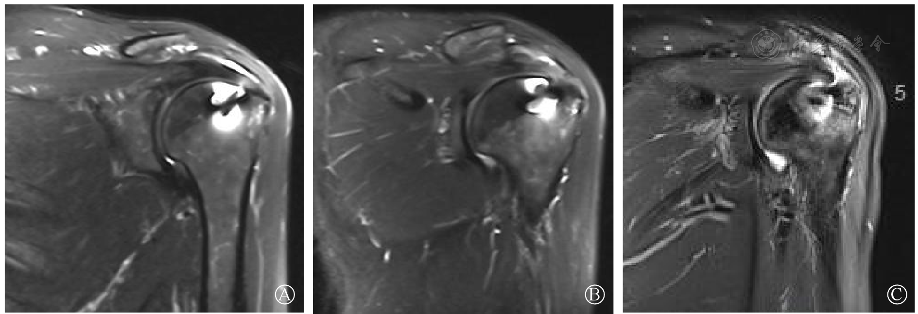
图2 患者女性,年龄51岁,左侧肩袖损伤,肩袖部分修补术后3个月(图A)、6个月(图B)、12个月(图C)MRI影像,Sugaya分型为Ⅳ,Ⅱ,Ⅱ
图3 患者女性,年龄58岁,右侧肩袖损伤,LHBT加强术后3个月(图A)、6个月(图B)、12个月(图C)MRI影像,Sugaya分型为Ⅳ,Ⅲ,Ⅱ注:LHBT为肱二头肌长头腱
[1]
Burnier M,Elhassan BT, Sanchez-Sotelo J. Surgical Management of Irreparable Rotator Cuff Tears[J]. J Bone Joint Surg Am,2019, 101(17): 1603-1612.
[2]
Catapano M,de Sa D, Ekhtiari S, et al. Arthroscopic Superior Capsular Reconstruction for Massive, Irreparable Rotator Cuff Tears: A Systematic Review of Modern Literature[J]. Arthroscopy, 2019, 35(4):1243-1253.
[3]
Hyde ZB, McMurtrie JT, Lee SR, et al. Partial rotator cuff repair versus debridement for irreparable rotator cuff tears: A systematic review[J]. J Orthop, 2023, 49:167-171.
[4]
Mori D, Kizaki K, Funakoshi N, et al. Irreparable Large to Massive Rotator Cuff Tears With LowGrade Fatty Degeneration of the Infraspinatus Tendon: Minimum 7-Year Follow-up of Fascia Autograft Patch Procedure and Partial Repair[J].Am J Sports Med, 2021, 49: 3656-3668.
[5]
Muench LN, Kia C, Williams AA, et al. High clinical failure rate after latissimus dorsi transfer for revision massive rotator cuff tears[J]. Arthroscopy2020, 36(1): 88-94.
[6]
Sellers TR, Abdelfattah A, Frankle MA. Massive Rotator Cuff Tear: When to Consider Reverse Shoulder Arthroplasty[J]. Curr Rev Musculoskelet Med2018,11(1):131-140.
[7]
Kang Y, Guo B, Xu J,et al.Effectiveness of arthroscopic long head of biceps tendon transposition combined with Swivelock anchor double fixation for massive and irreparable rotator cuff tears[J]. Zhongguo Xiu Fu Chong Jian Wai Ke Za Zhi2022, 36(12):1459-1464.
[8]
Barth J, Olmos MI, Swan J, et al. Superior Capsular Reconstruction with the Long Head of the Biceps Autograft Prevents Infraspinatus Retear in Massive Posterosuperior Retracted Rotator Cuff Tears[J]. Am J Sports Med2020, 48:1430-1438.
[9]
Kocaoglu B, Firatli G, Ulku TK. Partial Rotator Cuff Repair With Superior Capsular Reconstruction Using the Biceps Tendon Is as Effective as Superior Capsular Reconstruction Using a Tensor Fasciae Latae Autograft in the Treatment of Irreparable Massive Rotator Cuff Tears[J]. Orthop J Sports Med2020, 8(6):2325967120922526.
[10]
Park HS, Ham KH, Kim YS. The Arthroscopic Biceps Rerouting Technique Shows Better Early Clinical Outcomes within 1 Year Than Partial Repair in Large to Massive Rotator Cuff Tears[J]. Medicina (Kaunas)2024, 60(2):240.
[11]
Fandridis E, Zampeli F. Superior Capsular Reconstruction with Double Bundle of Long Head Biceps Tendon Autograft: The "Box" Technique[J]. Arthrosc Tech2020, 9:e1747–e1757.
[12]
Kim D, Jang Y, Park J, et al. Arthroscopic Superior Capsular Reconstruction with Biceps Autograft: Snake Technique[J]. Arthrosc Tech2019, 8:e1085-e1092.
[13]
Laprus H, Juszczak B, Brzóska R, et al. Biceps tendon autograft augmentation for rotator cuff and instability procedures: a narrative review[J]. EFORT Open Rev2024, 9(6):528-535.
[14]
Park MC, Itami Y, Lin CC, et al. Anterior Cable Reconstruction Using the Proximal Biceps Tendon for Large Rotator Cuff Defects Limits Superior Migration and Subacromial Contact Without Inhibiting Range of Motion: A Biomechanical Analysis[J]. Arthroscopy2018, 34:2590-2600.
[15]
Han SY, Lee TQ, Wright DJ, et al. Effect of biceps rerouting technique to restore glenohumeral joint stability for large irreparable rotator cuff tears: a cadaveric biomechanical study[J]. J Shoulder Elbow Surg2020, 29:1425-1434.
[16]
Berthold DP, Muench LN, Dyrna F, et al. Comparison of Different Fixation Techniques of the Long Head of the Biceps Tendon in Superior Capsule Reconstruction for Irreparable Posterosuperior Rotator Cuff Tears: A Dynamic Biomechanical Evaluation[J]. Am J Sports Med2021, 49(2):305-313.
[17]
Cho NS, Yi JW, Rhee YG. Arthroscopic biceps augmentation for avoiding undue tension in repair of massive rotator cuff tears[J]. Arthroscopy2009, 25(2):183-191.
[18]
Thamrongskulsiri N, Limskul D, Tanpowpong T, et al. Reduced retear rates yet similar clinical outcomes following arthroscopic partial repair of large and massive irreparable rotator cuff tears with biceps augmentation compared to repairs without biceps augmentation: A systematic review and meta-analysis[J]. Knee Surg Sports Traumatol Arthrosc2025, 33(4):1472-1487.
[19]
Laprus H, Brzóska R, Błasiak A, et al. Massive and irreparable rotator cuff tear treatment by arthroscopic partial repair with long head of the biceps tendon augmentation provides better healing and functional results than partial repair only[J]. J Shoulder Elbow Surg2024, 33(2):263-272.
[20]
Park SR, Sun DH, Kim J, et al. Is augmentation with the long head of the biceps tendon helpful in arthroscopic treatment of irreparable rotator cuff tears?[J]. J Shoulder Elbow Surg2018, 27(11):1969-1977.
[21]
Kawashima K, Terabayashi N, Asano H, et al. Arthroscopic Long Head of the Biceps Transposition for Superior Capsular Augmentation Results in Comparable Clinical Outcomes to Arthroscopic Partial Repair for Irreparable Rotator Cuff Tears[J]. Arthrosc Sports Med Rehabil2021, 4(2):e425-e434.
[1] 高竞宇, 闫延, 严承远, 唐样, 吴苑, 闫东旭, 方东京, 赵其纯. 肩关键角增大作为肩袖钙化性肌腱炎高危因素的研究[J/OL]. 中华关节外科杂志(电子版), 2025, 19(06): 661-668.
[2] 徐留海, 王颉, 田志鹏, 黄晶, 曾勇, 王茂朋, 刘丛钊, 周游. 影响盘状半月板损伤术后疗效的危险因素研究[J/OL]. 中华关节外科杂志(电子版), 2025, 19(05): 528-534.
[3] 张志勇, 王俊义, 韩长旭, 孟晨阳, 刘明, 韩娇. 侧-侧修复术治疗放射状外侧半月板后根部撕裂[J/OL]. 中华关节外科杂志(电子版), 2025, 19(05): 637-641.
[4] 袁超, 郑坤, 屈增辉, 喻元, 邓永军, 王薪华. 腕关节镜在桡骨远端关节内骨折内固定的应用[J/OL]. 中华关节外科杂志(电子版), 2025, 19(04): 499-504.
[5] 李祖希, 吴昊, 邹国友. 肩袖修补术后延迟注射富血小板血浆的早期疗效对比[J/OL]. 中华关节外科杂志(电子版), 2025, 19(03): 359-365.
[6] 李政, 李雳, 欧传双, 杨琼, 李长树. 对比分析单束不同方式保残重建治疗前交叉韧带断裂[J/OL]. 中华关节外科杂志(电子版), 2025, 19(02): 162-171.
[7] 胡海涛, 王虎虎, 贺加明, 刘鹏波, 高山松, 李宏伟, 胡杰. 经三后内侧入路关节镜治疗后交叉韧带胫骨止点撕脱骨折[J/OL]. 中华关节外科杂志(电子版), 2025, 19(02): 172-177.
[8] 王春久, 田向东, 谭冶彤, 薛志鹏, 张伟, 刘昂. 单平面胫骨高位截骨联合关节镜治疗内翻型膝骨关节炎[J/OL]. 中华关节外科杂志(电子版), 2025, 19(02): 185-192.
[9] 杨浩, 王春岭, 席少华, 尹素然. 富血小板血浆联合关节镜手术治疗膝骨关节炎的疗效分析[J/OL]. 中华损伤与修复杂志(电子版), 2025, 20(06): 499-504.
[10] 王晶晶, 王辉, 李阿漫, 曾峥. 对肩峰下撞击综合征患者肩关节镜术后居家康复锻炼方案的应用效果与依从性分析[J/OL]. 中华损伤与修复杂志(电子版), 2025, 20(03): 227-232.
[11] 肖济阳, 任东, 邢丹谋, 王欢, 陈焱, 张明. 创伤性肩关节后脱位的手术技术进展[J/OL]. 中华肩肘外科电子杂志, 2025, 13(04): 193-196.
[12] 张靖杰, 江惠祥, 肖棋, 邓辉云, 吴清泉, 郑佳鹏. 改良缝线桥技术与传统缝线桥技术治疗肩袖损伤的临床疗效对比[J/OL]. 中华肩肘外科电子杂志, 2025, 13(04): 203-209.
[13] 温宁, 刘松浪, 孙剑光, 陈济卫. 关节镜下肩袖修复术后肩痛管理策略对短期上肢功能恢复的影响[J/OL]. 中华肩肘外科电子杂志, 2025, 13(04): 210-217.
[14] 陈旭升, 任先振, 唐志方, 康凯强, 李川, 袁礼波, 徐永清, 金涛, 王家旭. 关节镜下导航引导双袢固定的Eden-Hybbinette手术治疗复发性肩关节脱位[J/OL]. 中华肩肘外科电子杂志, 2025, 13(03): 135-145.
[15] 唐洪, 刘俊利, 金正. 肩关节镜下肩袖撕裂修复围手术期焦虑及睡眠管理:一项前瞻性随机对照试验[J/OL]. 中华肩肘外科电子杂志, 2025, 13(03): 163-169.
阅读次数
全文


摘要


AI


AI小编
你好!我是《中华医学电子期刊资源库》AI小编,有什么可以帮您的吗?