切换至 "中华医学电子期刊资源库"

中华肩肘外科电子杂志 ›› 2025, Vol. 13 ›› Issue (04) : 246 -249. doi: 10.3877/cma.j.issn.2095-5790.2025.04.009

病例报告

全肘关节置换术治疗夏科氏肘关节病一例报道
向宇波1, 邢丹谋2, 肖飞2, 罗政1,()   
  1. 1445400 恩施土家族苗族自治州中心医院脊柱外科
    2430000 武汉市第四医院骨外科
  • 收稿日期:2025-09-24 出版日期:2025-11-05
  • 通信作者: 罗政
  • Received:2025-09-24 Published:2025-11-05
引用本文:

向宇波, 邢丹谋, 肖飞, 罗政. 全肘关节置换术治疗夏科氏肘关节病一例报道[J/OL]. 中华肩肘外科电子杂志, 2025, 13(04): 246-249.

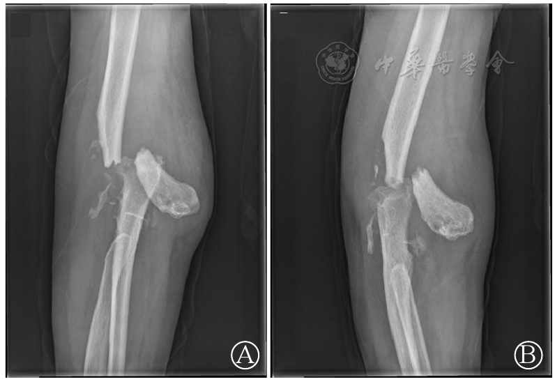
图1 右肘关节正(图A)、侧(图B)位片:右肱骨下端及尺桡骨上端见骨质吸收,关节面完全消失,可见大小不等游离碎片骨,周围软组织肿胀
图2 颈椎MRI:小脑扁桃体下缘变尖,小脑扁桃体及延髓下段向下疝入枕骨大孔以下2 cm,脊髓空洞形成,Chiari畸形并脊髓空洞 图A:T1加权图像;图B:T2加权图像
图3 右肘关节全肘关节置换术后正(图A)、侧(图B)位片:右侧人工肘关节对应关系可,位置正常、稳定
图4 右肘关节正(图A)侧(图B)位片:右侧肘关节置换术后,右侧肱骨下端骨折,断端明显分离移位,关节周围软组织内可见游离骨片影,软组织肿胀
图5 右肘关节假体周围骨折术后正(图A)、侧(图B)位片:右肱骨骨折断端对位对线尚可,内固定稳定,周围软组织内可见小游离骨折碎片,右侧人工肘关节位置良好
[1]
姜朱琪,应小樟,石仕元. 夏科氏关节病研究进展姜[ J ].浙江中西医结合杂志202434(6):578-581.
[2]
Waibel FWA, Berli MC, Gratwohl V, et al. Midterm Fate of the Contralateral Foot in Charcot Arthropathy[J]. Foot Ankle Int, 2020, 41 (10):1181-1189.
[3]
刘晓婷,宫玉锁,元宝华,等. 近十年夏科氏关节病的研究综述[J].数理医药学杂志202336(5):386-391.
[4]
Mahmoud I, Zarrouk Z, Ben Tekaya A, et al. Neuropathic arthropathy of the shoulder as a presenting feature of Chiari malformation with syringomyelia: a case report with a systematic literature review[J]. Eur Spine J, 2022, 31 (10):2733-2752.
[5]
Parida MK, Pattanaik SS, Panda AK, et al. Charcot arthropathy of elbow due to syringomyelia: a case series and systematic review of literature[J]. Clin Rheumatol, 2023, 42 (1):261-268.
[6]
Regauer M, Grasegger V, Furmetz J, et al. High rate of complications after corrective midfoot/subtalar arthrodesis and Achilles tendon lengthening in Charcot arthropathy type Sanders 2 and 3[J]. Int Orthop, 2023, 47 (1):141-150.
[7]
Uccioli L, Sinistro A, Almerighi C, et al. Proinflammatory modulation of the surface and cytokine phenotype of monocytes in patients with acute Charcot foot[J]. Diabetes Care, 2010, 33 (2):350-355.
[8]
Petrova NL, Dew TK, Musto RL, et al. Inflammatory and bone turnover markers in a cross-sectional and prospective study of acute Charcot osteoarthropathy[J]. Diabet Med, 2015, 32 (2):267-273.
[9]
Sinacore DR, Bohnert KL, Smith KE, et al. Persistent inflammation with pedal osteolysis 1year after Charcot neuropathic osteoarthropathy[J]. J Diabetes Complications, 2017, 31 (6):1014-1020.
[10]
Holly L, Tbatzdorf U. Chiari malformation and syringomyelia[J]. J Neurosurg Spine, 2019, 31 (5):619-628.
[11]
Fadila M, Sarrabia G, Shapira S, et al. Orthopedic Manifestations of Syringomyelia: A Comprehensive Review[J]. J Clin Med, 2025, 14 (9):3145.
[12]
Mosleh M, MSohn MJ. Optimizing Therapeutic Strategies for Syringomyelia Associated with Tethered Cord Syndrome: A Comprehensive Review[J]. Children (Basel), 2024, 11 (8):961.
[13]
邵娜,孙宁宁,聂瑞雪,等. 脊髓空洞症合并夏科氏关节病一例报告[ J ].中国骨与关节杂志20187(4):319-320.
[14]
苟静,杨雪霞. 脊髓空洞症伴夏科关节1例报道及文献复习[J].神经损伤与功能重建202015(12):742-744.
[15]
Chakraborty U, Saha R, Roy US, et al. Charcot Arthropathy of Elbow Joint in Syringomyelia[J]. Neurol India, 2023, 71 (2):366-367.
[16]
Ochoa-Precoma R, Pacheco-Soto BT, Porchia LM, et al. Association between Osteoprotegerin and Charcot Neuroarthropathy: a systematic review[J]. Acta Diabetol, 2021, 58 (4):475-484.
[17]
Sahoo S, KSalunke P. Charcot arthropathy of the elbow joint as a presenting feature of Chiari malformation with syringomyelia[J]. Br J Neurosurg, 2014, 28 (6):811-812.
[18]
Heiss JD, Jarvis K, Smith RK, et al. Origin of Syrinx Fluid in Syringomyelia: A Physiological Study[J]. Neurosurgery, 2019, 84 (2):457-468.
[19]
Du W, Dai R, Chen R, et al. Rotation-hinged knee prosthesis for the treatment of Charcot arthropathy: a case report and literature review[J]. J Int Med Res, 2021, 49 (11):3000605211058871.
[20]
Gratwohl V, Jentzsch T, Schoni M, et al. Long-term follow-up of conservative treatment of Charcot feet[J]. Arch Orthop Trauma Surg, 2022, 142 (10):2553-2566.
[21]
Rickert MM, Cannon J, GKirkpatrick JS. Neuropathic Arthropathy of the Shoulder: A Systematic Review of Classifications and Treatments[J]. JBJS Rev, 2019, 7 (10):e1.
[22]
Yammine K, Assi C.Intramedullary nail versus external fixator for ankle arthrodesis in Charcot neuroarthropathy: A meta-analysis of comparative studies[J]. J Orthop Surg (Hong Kong), 2019, 27 (2):2309499019836012.
[23]
Durgia H, Sahoo J, Kamalanathan S, et al. Role of bisphosphonates in the management of acute Charcot foot[J]. World J Diabetes, 2018, 9 (7):115-126.
[24]
Carves S, Bourgeon-Ghittori M, Henry J, et al. Denosumab in active Charcot neuro-osteoarthropathy of the foot[J]. Joint Bone Spine, 2021, 88 (6):105241.
[25]
Das L, Rastogi A, Jude EB, et al. Long-term foot outcomes following differential abatement of inflammation and osteoclastogenesis for active Charcot neuroarthropathy in diabetes mellitus[J]. PLoS One, 2021, 16 (11):e0259224.
No related articles found!
阅读次数
全文


摘要


AI


AI小编
你好!我是《中华医学电子期刊资源库》AI小编,有什么可以帮您的吗?